Xuất huyết não có nguy hiểm không? Tỷ lệ tử vong cao đến mức nào?
Thông Tin Tổng Quan
Xuất Huyết Não Là Gì?
Xuất huyết não (hay đột quỵ xuất huyết) xảy ra khi một mạch máu trong não bị vỡ, khiến máu tràn vào nhu mô não hoặc não thất. Máu tụ lại gây chèn ép mô não, phù não và làm tổn thương các tế bào thần kinh. Theo Hướng dẫn chẩn đoán và điều trị đột quỵ não của Bộ Y tế Việt Nam năm 2024, xuất huyết não chiếm khoảng 15–20% tổng số ca đột quỵ, thường gặp ở người có tăng huyết áp lâu năm.
Xem thêm bài viết
Lưu ý quan trọng: Khác với đột quỵ thiếu máu não (nhồi máu não), xuất huyết não không dùng thuốc tiêu huyết khối vì có thể làm tình trạng nặng thêm.
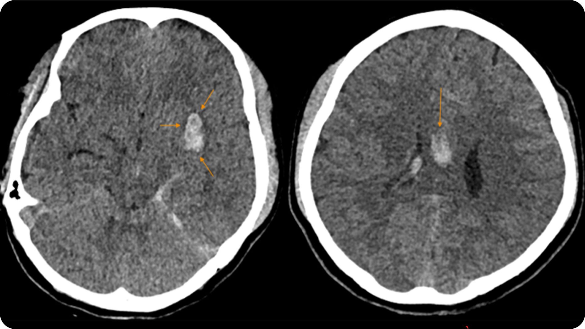
Hình ảnh CT scan não minh họa khối máu tụ trong xuất huyết não
Phân Loại Xuất Huyết Não
Triệu Chứng Xuất Huyết Não
Những Dấu Hiệu Và Triệu Chứng Thường Gặp
Triệu chứng thường khởi phát rất đột ngột. Các dấu hiệu điển hình bao gồm:
- Đau đầu dữ dội, chưa từng trải qua, thường kèm nôn ói
- Yếu hoặc liệt nửa người, méo miệng, khó nói hoặc nói không rõ
- Rối loạn ý thức: lơ mơ, ngủ gà, hôn mê
- Mất thăng bằng, chóng mặt, nhìn mờ hoặc nhìn đôi
Dấu hiệu nhận biết sớm xuất huyết não theo quy tắc FAST
Biến Chứng Có Thể Gặp
Nếu không được cấp cứu kịp thời, xuất huyết não có thể dẫn đến:
- Phù não tiến triển gây tụt não, đe dọa tính mạng
- Giãn não thất do máu cản trở lưu thông dịch não tủy
- Co giật do kích thích vỏ não
- Di chứng thần kinh lâu dài: yếu liệt, rối loạn ngôn ngữ, khó nuốt, thay đổi tính cách
- Tái xuất huyết nếu không kiểm soát được nguyên nhân gốc rễ
Khi Nào Cần Gặp Bác Sĩ?
Áp dụng ngay quy tắc FAST:
Đặc biệt: Nếu có đau đầu dữ dội kèm nôn hoặc mất ý thức, không chờ đợi dù chỉ 1 phút.
Nguyên Nhân Xuất Huyết Não
Tăng Huyết Áp Kéo Dài (Nguyên Nhân Hàng Đầu)
Tăng huyết áp mạn tính chiếm 80–85% nguyên nhân gây xuất huyết não tự phát (nguyên phát). Áp lực máu cao kéo dài làm thành mạch yếu dần, hình thành các vi phình mạch (microaneurysm) và cuối cùng dẫn đến vỡ mạch — đặc biệt ở các vùng hạch nền, đồi thị, cầu não hoặc tiểu não.
Dị Dạng Mạch Máu Não
Bao gồm phình động mạch não (túi phình) và dị dạng động–tĩnh mạch (AVM). Đây là nguyên nhân thứ phát phổ biến, thường gặp ở người trẻ không có tiền sử tăng huyết áp.
Các Nguyên Nhân Thứ Phát Khác
- Bệnh amyloid não mạch (cerebral amyloid angiopathy): thường gặp ở người cao tuổi, gây xuất huyết ở vùng vỏ não
- Rối loạn đông máu hoặc dùng thuốc kháng đông (warfarin, heparin, thuốc kháng kết tập tiểu cầu) không kiểm soát
- U não hoặc di căn não gây chảy máu
- Chấn thương đầu nặng
Nguy Cơ Xuất Huyết Não
Những Ai Có Nguy Cơ Cao?
- Người trên 55 tuổi (nguy cơ tăng theo độ tuổi)
- Người có tiền sử tăng huyết áp không điều trị hoặc điều trị không đều
- Người có tiền sử gia đình bị đột quỵ hoặc dị dạng mạch máu não
- Người đang dùng thuốc kháng đông hoặc thuốc chống kết tập tiểu cầu
Yếu Tố Làm Tăng Nguy Cơ
- Hút thuốc lá, uống rượu nhiều
- Ít vận động, thừa cân – béo phì
- Ăn mặn (>5g muối/ngày)
- Stress kéo dài
- Đái tháo đường, rối loạn lipid máu không kiểm soát tốt
Phương Pháp Chẩn Đoán & Điều Trị
Phương Pháp Chẩn Đoán Và Xét Nghiệm
Chẩn đoán hình ảnh là bước cốt lõi:
- CT scan não không cản quang: phương pháp ưu tiên hàng đầu trong cấp cứu — cho kết quả nhanh, phát hiện khối máu tụ ngay trong vài phút đầu
- MRI não: chính xác hơn trong phát hiện xuất huyết nhỏ hoặc ở giai đoạn bán cấp
- CT mạch máu não (CTA) / MRI mạch máu (MRA): tìm nguyên nhân dị dạng mạch, phình mạch
- Xét nghiệm máu: công thức máu, đông máu toàn bộ, chức năng thận–gan, đường huyết
Điều Trị Xuất Huyết Não
Nội Khoa
Điều trị nội khoa tập trung vào ổn định toàn trạng và ngăn khối máu tụ lan rộng:
- Kiểm soát huyết áp khẩn cấp: đưa huyết áp tâm thu về mức phù hợp (theo phác đồ bác sĩ, thường khoảng 130–150 mmHg tùy mức độ tổn thương)
- Giảm phù não: sử dụng các biện pháp nội khoa kiểm soát áp lực nội sọ
- Kiểm soát co giật nếu xuất hiện
- Cân bằng đường huyết và điện giải
- Duy trì đường thở, hỗ trợ hô hấp nếu cần
- Theo dõi sát tại đơn vị hồi sức đột quỵ chuyên biệt
Ngoại Khoa
Can thiệp phẫu thuật được xem xét khi:
- Khối máu tụ lớn (thường >30 ml) gây chèn ép não nghiêm trọng
- Xuất huyết tiểu não có nguy cơ chèn ép thân não
- Giãn não thất cần dẫn lưu khẩn cấp
- Phát hiện dị dạng mạch máu có thể can thiệp nội mạch hoặc phẫu thuật
Chế Độ Sinh Hoạt & Phòng Ngừa
Những Thói Quen Cần Xây Dựng
Theo khuyến cáo của WHO và AHA/ASA 2022:
- Đo huyết áp hàng ngày tại nhà, mục tiêu dưới 130/80 mmHg
- Bỏ thuốc lá hoàn toàn
- Hạn chế rượu (không quá 1–2 đơn vị/ngày)
- Tập thể dục đều đặn ít nhất 150 phút/tuần (đi bộ nhanh, bơi lội, đạp xe)
- Ăn nhiều rau củ, giảm muối (<5g/ngày), hạn chế thực phẩm chế biến sẵn
- Giữ cân nặng hợp lý, kiểm soát đường huyết và mỡ máu
- Ngủ đủ giấc, giảm stress bằng thiền định hoặc thư giãn có chủ đích
Phòng Ngừa Chủ Động
- Khám sức khỏe định kỳ: người trên 40 tuổi hoặc có tiền sử gia đình nên đo huyết áp, xét nghiệm máu và siêu âm mạch cảnh mỗi 6–12 tháng
- Chụp CT/MRI mạch máu não khi có chỉ định của bác sĩ (không tự ý chỉ định)
- Tuân thủ điều trị thuốc huyết áp, đái tháo đường, rối loạn lipid đúng theo hướng dẫn — không tự ý dừng thuốc
- Báo ngay bác sĩ nếu đang dùng thuốc kháng đông mà thấy đau đầu bất thường
Kết Luận
Xuất huyết não là bệnh lý nghiêm trọng nhưng hoàn toàn có thể phòng ngừa và kiểm soát nếu hành động sớm. Hãy kiểm tra huyết áp thường xuyên, duy trì lối sống lành mạnh và không chủ quan với bất kỳ dấu hiệu bất thường nào. Nếu bạn hoặc người thân thuộc nhóm nguy cơ cao, hãy đến gặp bác sĩ thần kinh để được tư vấn cụ thể và theo dõi định kỳ. Sức khỏe não bộ là nền tảng cho một cuộc sống trọn vẹn — hành động ngay hôm nay để bảo vệ tương lai.
Câu hỏi thường gặp (FAQs)
1. Xuất huyết não có nguy hiểm không?
Có — đây là cấp cứu đe dọa tính mạng. Tỷ lệ tử vong cao nếu không can thiệp kịp thời, nhưng cấp cứu sớm tại bệnh viện có đơn vị đột quỵ giúp tăng đáng kể cơ hội sống sót và hồi phục.
2. Xuất huyết não có chữa khỏi hoàn toàn không?
Kết quả phụ thuộc vào vị trí, kích thước khối máu và thời gian cấp cứu. Nhiều bệnh nhân hồi phục tốt, một số để lại di chứng ở mức độ khác nhau. Không có phương pháp nào đảm bảo kết quả như nhau cho mọi trường hợp.
3. Di chứng sau xuất huyết não thường gặp là gì?
Yếu liệt nửa người, rối loạn ngôn ngữ, khó nuốt, rối loạn tiểu tiện hoặc thay đổi tính cách. Phục hồi chức năng sớm và kiên trì giúp giảm thiểu đáng kể các di chứng này.
4. Xuất huyết não có tái phát không?
Có nguy cơ tái phát nếu không kiểm soát tốt huyết áp và các yếu tố nguy cơ. Tuân thủ điều trị lâu dài và thay đổi lối sống có thể giảm rõ rệt rủi ro này.
5. Làm sao phòng ngừa xuất huyết não hiệu quả?
Kiểm soát huyết áp là yếu tố quan trọng nhất, nhưng cần kết hợp đồng bộ với lối sống lành mạnh và khám định kỳ. Chỉ kiểm soát huyết áp đơn thuần là chưa đủ — cần thay đổi toàn diện và bền vững.
Nguồn tham khảo
-
Tổ chức Y tế Thế giới (WHO). Stroke. https://www.who.int/news-room/fact-sheets/detail/stroke
-
Greenberg SM et al. 2022 Guideline for the Management of Patients With Spontaneous Intracerebral Hemorrhage. Stroke. https://www.ahajournals.org/doi/10.1161/STR.0000000000000407
-
Mayo Clinic. Intracranial hematoma – Symptoms and causes. https://www.mayoclinic.org/diseases-conditions/intracranial-hematoma/symptoms-causes/syc-20356145
-
Bộ Y tế Việt Nam. Quyết định 3312/QĐ-BYT ngày 05/11/2024 – Hướng dẫn chẩn đoán và điều trị đột quỵ não. https://thuvienphapluat.vn/van-ban/The-thao-Y-te/Quyet-dinh-3312-QD-BYT-2024-tai-lieu-chuyen-mon-Huong-dan-chan-doan-dieu-tri-dot-quy-nao-651734.aspx
.png)
.png)








