Tràn Dịch Màng Phổi: Nguyên Nhân, Triệu Chứng Và Cách Xử Lý Hiệu Quả
Bạn cảm thấy khó thở đột ngột, tức ngực, ho khan hoặc đau khi hít sâu? Đây có thể là dấu hiệu của tràn dịch màng phổi – tình trạng tích tụ dịch quanh phổi, thường do bệnh lý nền. Bài viết cung cấp cái nhìn toàn diện về tình trạng tích tụ dịch bất thường tại phổi, giúp người bệnh nhận diện sớm dấu hiệu nguy hiểm và định hướng can thiệp y khoa kịp thời theo phác đồ chuẩn.
Thông tin tổng quan về tràn dịch màng phổi
Tràn dịch màng phổi là gì?
Tràn dịch màng phổi (pleural effusion) là tình trạng tích tụ lượng dịch bất thường bên trong khoang màng phổi – khoảng trống nằm giữa hai lớp màng bao quanh phổi và thành ngực.
Bình thường, khoang này chỉ chứa khoảng 10-20 ml dịch sinh lý đóng vai trò là chất bôi trơn, giúp phổi trượt dễ dàng và êm ái khi chúng ta hô hấp. Khi sự cân bằng giữa việc sản sinh và hấp thụ dịch bị phá vỡ, lượng dịch dư thừa sẽ chèn ép phổi, gây khó khăn cho quá trình trao đổi oxy.
Phân loại dịch màng phổi
Theo Mayo Clinic, dịch màng phổi thường được chia thành hai nhóm chính để định hướng nguyên nhân:
-
Dịch thấm (Transudate): Thường do sự thay đổi áp lực trong mạch máu hoặc do nồng độ protein trong máu thấp. Gặp nhiều trong suy tim, xơ gan.
-
Dịch tiết (Exudate): Xảy ra khi màng phổi bị tổn thương hoặc viêm nhiễm trực tiếp, dẫn đến rò rỉ dịch giàu protein và tế bào.
Triệu chứng và biến chứng
Những dấu hiệu và triệu chứng phổ biến
Triệu chứng của tràn dịch màng phổi có thể diễn tiến âm thầm hoặc khởi phát dữ dội tùy thuộc vào lượng dịch tích tụ:
-
Khó thở: Đây là dấu hiệu điển hình nhất. Bạn sẽ cảm thấy hụt hơi khi gắng sức, ở giai đoạn nặng, ngay cả khi nằm nghỉ cũng thấy khó thở.
-
Đau ngực kiểu màng phổi: Cơn đau nhói như dao đâm khi bạn hít sâu, ho hoặc hắt hơi.
-
Ho khan: Thường do sự kích thích màng phổi bị viêm hoặc chèn ép.
-
Sốt và mệt mỏi: Thường xuất hiện nếu nguyên nhân do nhiễm trùng (viêm phổi, lao).
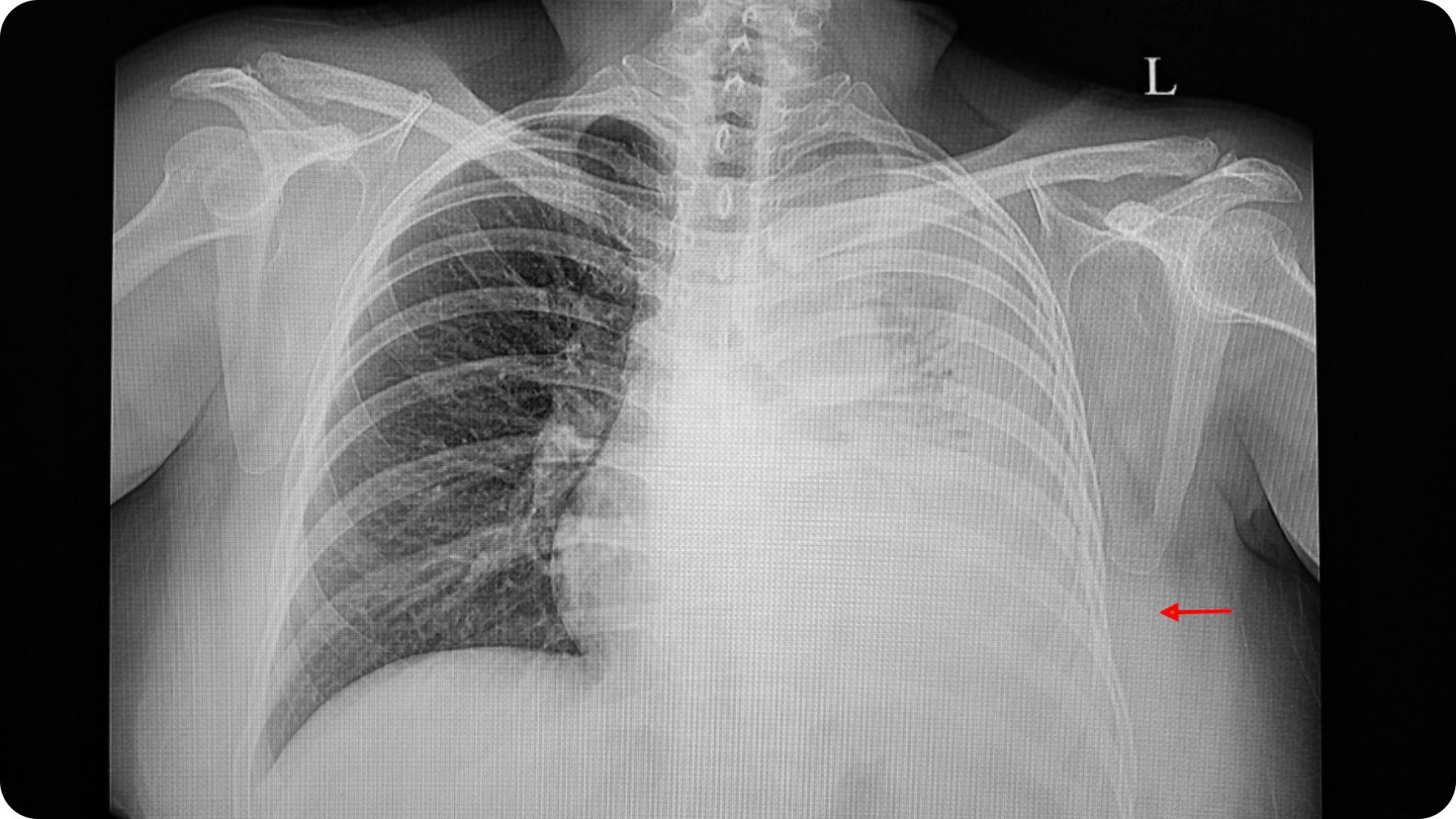
Hình ảnh X-quang ngực hiển thị tình trạng tràn dịch màng phổi một bên
Biến chứng có thể gặp
Nếu không được dẫn lưu và điều trị gốc rễ, bệnh có thể dẫn đến:
-
Suy hô hấp: Phổi bị ép xẹp hoàn toàn, không thể thực hiện chức năng trao đổi khí.
-
Dày dính màng phổi: Dịch viêm lâu ngày tạo thành các dải xơ, làm hạn chế khả năng giãn nở của phổi vĩnh viễn.
-
Áp xe màng phổi (Dịch mủ): Nhiễm trùng lan rộng tạo mủ trong khoang màng phổi, đe dọa tính mạng.
Khi nào cần gặp bác sĩ ngay lập tức?
Hãy đến cơ sở y tế khẩn cấp nếu bạn có các dấu hiệu:
-
Khó thở dữ dội, tím tái môi hoặc đầu ngón tay.
-
Đau ngực cấp tính không giảm khi nghỉ ngơi.
-
Sốt cao kèm ho ra máu.
Xem thêm bài viết
Nguyên nhân gây tràn dịch màng phổi
Tràn dịch màng phổi không phải là một bệnh lý độc lập mà thường là "tảng băng nổi" của một vấn đề sức khỏe khác:
-
Lao màng phổi: Đây là nguyên nhân hàng đầu tại Việt Nam, đặc biệt ở người trẻ và người có hệ miễn dịch kém.
-
Viêm phổi: Nhiễm trùng từ phổi lan ra màng phổi gây tích tụ dịch viêm.
-
Bệnh lý ác tính: Ung thư phổi, ung thư vú hoặc các khối u di căn đến màng phổi.
-
Bệnh lý tạng: Suy tim sung huyết (chiếm tỷ lệ cao ở người già), xơ gan cổ chướng hoặc suy thận mạn tính.
Sơ đồ cơ chế tích tụ dịch trong khoang màng phổi gây chèn ép phổi
Nguy cơ và yếu tố thuận lợi
Những ai có nguy cơ cao?
-
Người có tiền sử mắc các bệnh về phổi hoặc tim mạch.
-
Bệnh nhân đang điều trị ung thư.
-
Người làm việc trong môi trường ô nhiễm, tiếp xúc bụi silic hoặc amiăng.
Yếu tố làm tăng nguy cơ
-
Hút thuốc lá: Gây tổn thương biểu mô phổi, dễ dẫn đến viêm nhiễm và ung thư.
-
Lạm dụng rượu bia: Làm tăng nguy cơ xơ gan và suy giảm miễn dịch.
-
Tiếp xúc với nguồn lây lao: Trong gia đình hoặc cộng đồng có người mắc lao phổi.
Phương pháp chẩn đoán & điều trị
Phương pháp chẩn đoán
Bác sĩ sẽ chỉ định các xét nghiệm hình ảnh và thủ thuật để xác định mức độ dịch:
-
X-quang ngực: Hình ảnh kinh điển là hiện tượng mờ đồng nhất ở đáy phổi và tù góc sườn hoành.
-
Siêu âm màng phổi: Giúp xác định vị trí chính xác của dịch, đặc biệt là dịch khu trú (có vách ngăn).
-
Chọc hút dịch màng phổi: Lấy một lượng dịch nhỏ để xét nghiệm sinh hóa, tế bào học nhằm tìm vi khuẩn lao hoặc tế bào ung thư.
Điều trị tràn dịch màng phổi
Mục tiêu điều trị là loại bỏ dịch để phổi giãn nở và giải quyết nguyên nhân gây bệnh.
Điều trị Nội khoa
-
Sử dụng thuốc: Kháng sinh (cho viêm phổi), thuốc chống lao (theo phác đồ chuẩn của Bộ Y tế), hoặc thuốc lợi tiểu (cho bệnh nhân suy tim, xơ gan).
-
Kháng viêm: Giúp giảm đau và ngăn ngừa dày dính màng phổi.
Điều trị Ngoại khoa & Thủ thuật
-
Chọc hút/Dẫn lưu: Sử dụng kim hoặc ống dẫn lưu để rút dịch ra ngoài giúp người bệnh dễ thở ngay lập tức.
-
Nội soi màng phổi: Áp dụng khi cần bóc tách các ổ mủ hoặc dính màng phổi phức tạp.
Thủ thuật chọc hút dẫn lưu dịch màng phổi an toàn dưới hướng dẫn siêu âm
Bảng so sánh các loại dịch thường gặp:
Chế độ sinh hoạt & Phòng ngừa
Những thói quen hỗ trợ điều trị
-
Tư thế nằm: Khi thấy khó thở, hãy nằm nghiêng về bên phổi khỏe mạnh (bên không có dịch) để phổi này được giãn nở tối đa.
-
Dinh dưỡng: Ăn thức ăn nhẹ, dễ tiêu, giảm muối nếu có suy tim hoặc xơ gan.
-
Vận động: Tập thở nhẹ nhàng theo hướng dẫn của bác sĩ để tránh dính màng phổi sau khi rút dịch.
Cách phòng ngừa hiệu quả
-
Tiêm chủng: Tiêm vaccine cúm và phế cầu hàng năm để giảm nguy cơ viêm phổi.
-
Bỏ thuốc lá: Đây là cách bảo vệ phổi bền vững nhất.
-
Khám sức khỏe định kỳ: Đặc biệt là tầm soát lao và tim mạch nếu thuộc nhóm nguy cơ cao.
Kết luận & Lời khuyên
Tràn dịch màng phổi là một tình trạng y khoa cần được chú ý đặc biệt nhưng hoàn toàn có thể kiểm soát nếu được phát hiện sớm. Thay vì lo lắng quá mức, bạn nên thực hiện thăm khám chuyên khoa hô hấp ngay khi có dấu hiệu khó thở hoặc đau ngực.
Lời khuyên từ chuyên gia: Hãy tuân thủ tuyệt đối phác đồ điều trị nguyên nhân (đặc biệt là lao) để tránh tái phát. Việc tự ý ngưng thuốc khi thấy hết khó thở là sai lầm phổ biến khiến bệnh trở nên trầm trọng và khó điều trị hơn.
Câu hỏi thường gặp (FAQs)
1. Tràn dịch màng phổi có phải là ung thư không?
Không phải tất cả trường hợp đều là ung thư. Tại Việt Nam, lao và viêm phổi là nguyên nhân rất phổ biến. Tuy nhiên, nếu bạn lớn tuổi hoặc có tiền sử hút thuốc, bác sĩ sẽ cần xét nghiệm tế bào dịch để loại trừ ác tính.
2. Sau khi hút dịch, dịch có quay lại không?
Dịch có thể tái phát nếu nguyên nhân gốc rễ (như suy tim chưa ổn định hoặc lao chưa được điều trị đủ liệu trình) vẫn còn. Tuân thủ thuốc điều trị nền là cách tốt nhất để ngăn dịch quay lại.
3. Tôi có bị lây lao cho người thân nếu bị tràn dịch màng phổi do lao không?
Tràn dịch màng phổi đơn thuần thường không lây. Tuy nhiên, nếu bạn bị lao màng phổi kèm theo lao phổi (có vi khuẩn trong đờm), bạn hoàn toàn có thể lây qua đường hô hấp. Cần xét nghiệm đờm để xác định mức độ lây nhiễm.
Nguồn tham khảo
-
Mayo Clinic: Pleural Effusion - Symptoms and Causes.
-
MSD Manuals: Tràn dịch màng phổi (Phiên bản chuyên gia).
-
Bệnh viện Nguyễn Tri Phương: Hướng dẫn chẩn đoán và điều trị tràn dịch màng phổi.
-
Vinmec: Tràn dịch màng phổi - Chẩn đoán và điều trị.
.png)
.png)








